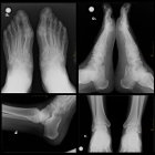
o curso tem com objetivo a ênfase no posicionamento dos membros inferiores, tirei muita duvidas em relação ao assunto.
Curso de Radiologia - Posicionamento dos Membros Inferiores
Milhares de estudantes transformaram suas carreiras com nossos cursos. Veja o que eles têm a dizer sobre a experiência.
o curso tem com objetivo a ênfase no posicionamento dos membros inferiores, tirei muita duvidas em relação ao assunto.
Curso de Radiologia - Posicionamento dos Membros Inferiores
BOM CURSO.
Curso A Família e o Sucesso Escolar
O curso é muito importante para uma direção segura e de responsabilidade.
Grata.
Curso de Direção Defensiva
acho que é de suma importância ampliarmos nosso leque de conhecimento principalmente em relação aos direito da pessoa do preso, pois nosso trabalho se norteia na legalidade, assim sendo nosso trabalho não se encerra no fechamento da cela.
Curso de Direitos Humanos dos Presos
O curso é extremamente importante para aprimorar os conhecimentos. Desta maneira, refletimos a importância da prática com a teoria.
Curso de Direção Defensiva
curso muito bem elaborado!!
Curso de Defesa Civil
Super indico
Curso Escolta Armada
Foi um curso de amplo conhecimento que me ajudará ainda mais no desempenho no trabalho.
Curso de Programação em C
Curso com bastante detalhes sobre a matéria
Curso de Direitos Humanos dos Presos
Curso para atualização sempre é bom para a nossa atividade.
Curso de Defesa Civil
Atendeu as minhas expectativas.
Curso de Responsabilidades do Servidor Público
Bom
Curso Suporte Técnico em Informática
Junte-se a milhares de alunos satisfeitos e transforme sua carreira
Explorar Cursos